$129.99
No. of files: 18
Size: 6.56GB
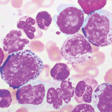
Hematopathology 2021 (CME VIDEOS) is an on-demand CME video course that provides detailed coverage of hematopoietic lesions with a focus on case-based presentations and interpretation of ancillary test results. This program delivers clinically relevant lectures on a range of hematopathology topics, including low-grade B-cell lymphomas, Hodgkin lymphoma, myeloid neoplasms, and T-cell lymphomas.
On-demand oncology & hematology education — accessible anytime, anywhere.
This program offers a comprehensive overview of key hematopathology topics through expert lectures designed to enhance diagnostic skills and understanding of hematopoietic neoplasms.
This program is designed for pathologists, including residents and fellows, hematology oncologists, and hematopathologists seeking to strengthen their expertise in hematopathology.
Hematopathology 2021 (CME VIDEOS) offers clinically relevant education in hematopathology, a specialty critical to the diagnosis and classification of hematopoietic neoplasms. This course supports pathologists and clinicians in applying current diagnostic criteria and ancillary testing to improve diagnostic accuracy.
By accessing this MedHub Central on-demand program, professionals in oncology and hematology can reinforce and update their knowledge with expert-led content that addresses practical challenges encountered in daily pathology practice.
$129.99




Medhub Central is your premier online marketplace for healthcare education. We offer a curated selection of digital products, including ebooks, courses, and other resources designed to elevate your skills and knowledge in the art and science of healthcare.
Shopping on Medhub Central is simple! Browse our categories, find a product you love, and click the “Download Course/PDF” button. You’ll be directed to the checkout page to complete your purchase securely with your payment details.
Once your payment is processed, you’ll receive an email with a download link to access your purchase. You can also log into your account on Medhub Central and navigate to the “Downloads” section to find your products.
Please note that sometimes the download link may be missing due to third-party issues. If this happens, give us 24 to 48 hours to resolve the issue. If you are still unable to download your product after this time, please email us at [email protected] for assistance.
We accept payments via major credit cards, securely processed through trusted third-party payment providers.
Due to the digital nature of our products, refunds or exchanges are not offered once a download link has been provided, except for subscriptions or special offers. If you have concerns, please review our refund policy or contact our support team.
Most of our digital products are compatible with a wide range of devices, including computers, tablets, and smartphones. Products are typically in PDF format, ensuring easy access without special software. Please check the product description for specific compatibility details. If you have questions, our support team is here to help!
No, all products are protected by copyright and are intended for personal use only. Sharing, redistribution, or resale is strictly prohibited and may result in legal action.
If you encounter technical issues, please contact our support team. We’re here to assist and will resolve any problems as quickly as possible.
Reach out to our customer support team via email or through the contact form on our website. We aim to respond to all inquiries within 24 hours.
New ebooks, courses, and resources are added regularly. Check back often for updates or subscribe to our newsletter for the latest releases and exclusive offers.
We operate with a “Robin Hood” approach—balancing fair compensation for our talented content creators with accessible pricing for our customers. Our goal is to make high-quality healthcare education available to everyone.
Our Robin Hood approach means we take smaller commissions from content creators, enabling us to pass those savings on to you. This model ensures fairness for creators and affordability for learners.
Absolutely not! At Medhub Central, we work with passionate, talented educators and creators dedicated to providing high-quality, valuable content. Lower prices reflect our mission, not our standards.
Yes, all products on Medhub Central are legal and legitimate. We partner with creators who have full distribution rights and adhere to ethical business practices.
We take security seriously. Transactions are processed through trusted payment providers, and our website uses SSL encryption to safeguard communication and data. Products are regularly checked to ensure they are free from harmful elements like malware or viruses.
Yes! Your privacy and security are our priority. We use advanced encryption to protect your data and only collect the information necessary to complete your order. Your personal and payment details are never shared with third parties.
Any time you need help, you can count on our Support Heroes. They are strong, they are fast, and they will help you - no matter the time!
Payments are sucure and encrypted
Receive ebook immediately in your email
24/7 support available via email
Budget-friendly & high-quality educational resources, designed to enhance learning and improve patient care.
Quick links
MedHub Central is your premier destination for healthcare education. Our platform connects professionals with high-quality educational resources, designed to enhance learning and improve patient care. By utilizing our services, you gain access to a wealth of knowledge and expertise that can elevate your practice and business outcomes.
Copyright © 2025 MedHub Central. All rights reserved.
We use cookies and similar technologies to enhance your interactions with our website and services, including when you reach out to us via chat. This includes traffic analysis, delivering personalized content, and supporting our marketing efforts. By accessing our website and interacting with our services, you agree to let us and our partners use cookies and similar technologies on your devices. Click the Cookie Policy to learn how you can control their use. To understand how we process your data, including through cookies and other interactions, please read our Privacy Policy.